Lompat ke konten Lompat ke sidebar Lompat ke footer

Can Lyme Disease Cause Brain Lesions

Mr Imaging Assessment Of Brain And Cervical Cord Damage In Patients With Neuroborreliosis American Journal Of Neuroradiology

Mr Imaging Assessment Of Brain And Cervical Cord Damage In Patients With Neuroborreliosis American Journal Of Neuroradiology

Can lyme disease cause brain lesions. Sometimes people who think they may have Lyme disease find out they have MS an immune-mediated central nervous system disorder. It can produce lesions in the white matter of the brain which can bee seen on an mri. Symptoms can mimic a brain tumor but in actuality there is no tumor.

And in fact some researchers suggest that Neuro-Lyme disease may be one significant cause of some of these disorders. They damage nerve cells trigger inflammation release neurotoxins and disrupt the balance of brain chemicals. While I was extremely concerned about lesions at the age of 30 I came to the conclusion that my symptoms are more alarming then the lesions.

Yes these lesions can be caused by Lyme disease. This is because lesions can be caused by almost anything including Chicken Pox. I had numerous lesions on brain and both spines and then dx with MS.

In a person with MS the lesions are usually very specific and localized in certain areas of the brain but in Lyme Disease they can be all over and very non-specific. Lyme disease brain MRI scans may also show brain involvement Interestingly Lyme disease brain lesions sometimes show up on brain scans and look similar to multiple sclerosis lesions. Brain aneurysm a bulge in an artery in your brain Brain AVM arteriovenous malformation arteriovenous malformation an abnormal formation of brain blood vessels.

In about 15 percent of cases Lyme disease affects the central nervous system. 17 Lyme disease lesions on the spine are also possible. I wouldnt go to the doc saying my ankle had a sore on it if what it was was swollen.

Additionally MS and Lyme Disease can both be relapsing diseases. According to some sources this percentage may even be higher since thousands of cases are likely to remain undiagnosed every year. Lyme neuroborreliosis is one of the chronic manifestations of Lyme disease and is caused by the neurotropic spirochete Borrelia burgdorferi.

Have you had an LP. She also explains how co-infections contribute to Lyme disease brain.

Neuro Lyme Disease Mr Imaging Findings Radiology

Neuro Lyme Disease Mr Imaging Findings Radiology

Neuro Lyme Disease Mr Imaging Findings Radiology

Neuro Lyme Disease Mr Imaging Findings Radiology

Neuro Lyme Disease Mr Imaging Findings Radiology

Neuro Lyme Disease Mr Imaging Findings Radiology

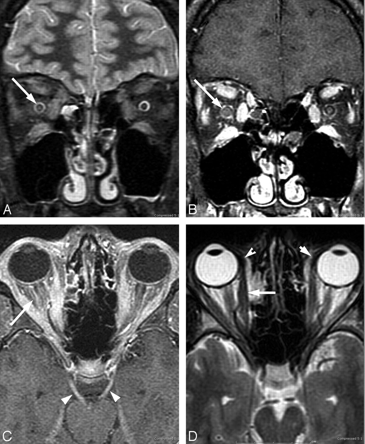
Lyme Neuroborreliosis Manifestations Of A Rapidly Emerging Zoonosis American Journal Of Neuroradiology

Lyme Neuroborreliosis Manifestations Of A Rapidly Emerging Zoonosis American Journal Of Neuroradiology

Neuro Lyme Disease Mr Imaging Findings Radiology

Neuro Lyme Disease Mr Imaging Findings Radiology

Lyme Neuroborreliosis Manifestations Of A Rapidly Emerging Zoonosis American Journal Of Neuroradiology

Lyme Neuroborreliosis Manifestations Of A Rapidly Emerging Zoonosis American Journal Of Neuroradiology

Stage 3 Lyme Disease Signs Long Island

Stage 3 Lyme Disease Signs Long Island

Lyme Disease Presenting As Acute Ischemic Strokes With An Embolic Pattern Sciencedirect

Lyme Disease Presenting As Acute Ischemic Strokes With An Embolic Pattern Sciencedirect

Neuro Lyme Disease Mr Imaging Findings Radiology

Neuro Lyme Disease Mr Imaging Findings Radiology

Primarily Chronic And Cerebrovascular Course Of Lyme Neuroborreliosis Case Reports And Literature Review Archives Of Disease In Childhood

Primarily Chronic And Cerebrovascular Course Of Lyme Neuroborreliosis Case Reports And Literature Review Archives Of Disease In Childhood

Science Bulletins New Tools Search For Lyme Disease In Brain Youtube

Science Bulletins New Tools Search For Lyme Disease In Brain Youtube

Lyme Disease And The Brain Everything You Need To Know Lyme Time

Lyme Disease And The Brain Everything You Need To Know Lyme Time

Lyme Neuroborreliosis Manifestations Of A Rapidly Emerging Zoonosis American Journal Of Neuroradiology

Lyme Neuroborreliosis Manifestations Of A Rapidly Emerging Zoonosis American Journal Of Neuroradiology

Neuro Lyme Disease Mr Imaging Findings Radiology

Neuro Lyme Disease Mr Imaging Findings Radiology

Neuro Lyme Disease Mr Imaging Findings Radiology

Neuro Lyme Disease Mr Imaging Findings Radiology

Lyme Neuroborreliosis Manifestations Of A Rapidly Emerging Zoonosis American Journal Of Neuroradiology

Lyme Neuroborreliosis Manifestations Of A Rapidly Emerging Zoonosis American Journal Of Neuroradiology

Neuro Lyme Disease Mr Imaging Findings Radiology

Neuro Lyme Disease Mr Imaging Findings Radiology

A 4 Year Old Boy With Ataxia And Aphasia Cmaj

A 4 Year Old Boy With Ataxia And Aphasia Cmaj

The Radiology Assistant Multiple Sclerosis Diagnosis And Differential Diagnosis

The Radiology Assistant Multiple Sclerosis Diagnosis And Differential Diagnosis

Findings On Lyme Disease Posts Facebook

Findings On Lyme Disease Posts Facebook

Cureus A Case Of Disseminated Lyme Disease Presenting As Chronic Urticaria

Cureus A Case Of Disseminated Lyme Disease Presenting As Chronic Urticaria

Rocky Mountain Spotted Fever Brain Imaging Findings The Brazilian Journal Of Infectious Diseases

Rocky Mountain Spotted Fever Brain Imaging Findings The Brazilian Journal Of Infectious Diseases

Lyme Disease Vs Ms What S The Difference

Lyme Disease Vs Ms What S The Difference

Https Encrypted Tbn0 Gstatic Com Images Q Tbn And9gct Ukx9vxdf42wrh6amlcdrv78prqsaihhzljjifqef Wnvdgfq Usqp Cau

Https Encrypted Tbn0 Gstatic Com Images Q Tbn And9gct Ukx9vxdf42wrh6amlcdrv78prqsaihhzljjifqef Wnvdgfq Usqp Cau

Cureus Neuroborreliosis With Unusual Presentation A Case Report

Cureus Neuroborreliosis With Unusual Presentation A Case Report

120 Chronic Lyme Is Real Ideas Lyme Lyme Disease Lyme Disease Awareness

120 Chronic Lyme Is Real Ideas Lyme Lyme Disease Lyme Disease Awareness

Spots On An Mri White Matter Hyperintensities

Spots On An Mri White Matter Hyperintensities

Mr Imaging Assessment Of Brain And Cervical Cord Damage In Patients With Neuroborreliosis American Journal Of Neuroradiology

Mr Imaging Assessment Of Brain And Cervical Cord Damage In Patients With Neuroborreliosis American Journal Of Neuroradiology

Neuro Lyme Disease Mr Imaging Findings Radiology

Neuro Lyme Disease Mr Imaging Findings Radiology

Brain Lesions Lyme Disease Brain Lesions

Brain Lesions Lyme Disease Brain Lesions

Intracranial Aneurysms In Three Patients With Disseminated Lyme Borreliosis Cause Or Chance Association Journal Of Neurology Neurosurgery Psychiatry

Intracranial Aneurysms In Three Patients With Disseminated Lyme Borreliosis Cause Or Chance Association Journal Of Neurology Neurosurgery Psychiatry

Lyme Disease Wikipedia

Lyme Disease Wikipedia

Lyme Neuroborreliosis Manifestations Of A Rapidly Emerging Zoonosis American Journal Of Neuroradiology

Lyme Neuroborreliosis Manifestations Of A Rapidly Emerging Zoonosis American Journal Of Neuroradiology

The Cdc Reveals The Truth About Lyme Disease Amen Clinics Amen Clinics

The Cdc Reveals The Truth About Lyme Disease Amen Clinics Amen Clinics

Rocky Mountain Spotted Fever Brain Imaging Findings The Brazilian Journal Of Infectious Diseases

Rocky Mountain Spotted Fever Brain Imaging Findings The Brazilian Journal Of Infectious Diseases

Pdf Novel Diagnosis Of Lyme Disease Potential For Cam Intervention

Pdf Novel Diagnosis Of Lyme Disease Potential For Cam Intervention

Symptoms Of Lyme Disease And Ms What You Should Know

Symptoms Of Lyme Disease And Ms What You Should Know

The Radiology Assistant Multiple Sclerosis Diagnosis And Differential Diagnosis

The Radiology Assistant Multiple Sclerosis Diagnosis And Differential Diagnosis

White Matter Disease Cns Vasculitis Ddx Im Reference

White Matter Disease Cns Vasculitis Ddx Im Reference

Untreated Lyme Disease If It Isn T Caught Early The Fallout Can Be Scary Cbs News

Untreated Lyme Disease If It Isn T Caught Early The Fallout Can Be Scary Cbs News

Lyme Disease

Lyme Disease

Lyme Disease Boston Children S Hospital

Lyme Disease Boston Children S Hospital

Scielo Brasil Adult Onset Sporadic Ataxias A Diagnostic Challenge Adult Onset Sporadic Ataxias A Diagnostic Challenge

Scielo Brasil Adult Onset Sporadic Ataxias A Diagnostic Challenge Adult Onset Sporadic Ataxias A Diagnostic Challenge

Lyme Disease Rash Symptoms Stages And Identification

Lyme Disease Rash Symptoms Stages And Identification

Lyme Disease Symptoms Bay Area Lyme Foundation

Lyme Disease Symptoms Bay Area Lyme Foundation

Pdf Vasculitis And Stroke Due To Lyme Neuroborreliosis A Review

Pdf Vasculitis And Stroke Due To Lyme Neuroborreliosis A Review

Cerebral Aneurysm In Lyme Neuroborreliosis With Regression After Medical Treatment Omics International

Cerebral Aneurysm In Lyme Neuroborreliosis With Regression After Medical Treatment Omics International

How Lyme Disease And Chronic Infections Can Lead To Cancer Envita Medical Center

How Lyme Disease And Chronic Infections Can Lead To Cancer Envita Medical Center

1

1

While I was extremely concerned about lesions at the age of 30 I came to the conclusion that my symptoms are more alarming then the lesions.

It can produce lesions in the white matter of the brain which can bee seen on an mri. I had numerous lesions on brain and both spines and then dx with MS. Additionally MS and Lyme Disease can both be relapsing diseases. Yes these lesions can be caused by Lyme disease. Send thanks to the doctor. Lyme causes brain swelling not sores and thats a whole different thing. This is because lesions can be caused by almost anything including Chicken Pox. Two of the three stages of Lyme disease potentially involve the central nervous system. Luckily in Lyme Disease prompt and sufficient courses of antibiotics will halt the lesions in.


They damage nerve cells trigger inflammation release neurotoxins and disrupt the balance of brain chemicals. Ducharme lays all this out in plain language. I had numerous lesions on brain and both spines and then dx with MS. Depending on the species Borrelia infections are commonly called Lyme disease or tickborne relapsing fever. They damage nerve cells trigger inflammation release neurotoxins and disrupt the balance of brain chemicals. Lyme neuroborreliosis is one of the chronic manifestations of Lyme disease and is caused by the neurotropic spirochete Borrelia burgdorferi. 18 Clinical representation of Lyme disease is often the best way for diagnosis.

Posting Komentar untuk "Can Lyme Disease Cause Brain Lesions"