Lompat ke konten Lompat ke sidebar Lompat ke footer

Wie Oft Darf Man Röntgen Im Jahr

Arzte Rontgen Zu Oft Wie Oft Darf Ich Jahrlich Gerontgt Werden Bildplus Inhalt Gesundheit Bild De

Arzte Rontgen Zu Oft Wie Oft Darf Ich Jahrlich Gerontgt Werden Bildplus Inhalt Gesundheit Bild De

Wie oft darf man röntgen im jahr. Ich habe gelesen dass zu vieles Röntgen schädlich sein kann und Krebs auslössen kann. Können die es verweigern oderso. Aus rechtlicher Sicht so oft wie notwendig.

Wie groß die Krebsgefahr ist kann man nicht genau sagen. Zu Kontrollzwecken am Thorax kommt es immer auf die Indikation des Arztes an also immer hinterfragen ob es wirklich sein muss. Wie oft im jahr darf man geröngt werden.

Jede Röntgenuntersuchung ist mit einem gewissen wenn auch geringen Strahlenrisiko verbunden. Arthrose Bandscheiben. Doch ist eine Röntgen-Untersuchung immer notwendig.

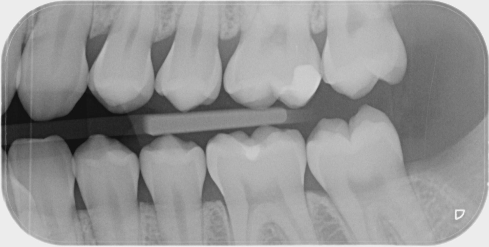
Art und Alter des Röntgengerätes Dauer der Aufnahme und Bestrahlung Umfang und Größe des zu röntgenden Bereiches. Im Mund wird häufig geröntgt. Ich wurde in den letzten 7 Jahren 14 Mal geröngt vorher wahrscheinlich noch häufiger wie oft weiß ich nicht.

Die Strahlenbelasrung beträgt bei einer Brustkorbaufnahme soviel wie die natürliche. Von den jährlich bundesweit etwa sechs Millionen Bildaufnahmen mittels Röntgengerät Computer- oder Magnetresonanz-Tomograph seien viele vorschnell oder überflüssig. Im Arbeitnehmergesetz ist zwar geregelt dass der Arbeitnehmer spätestens am 4.

Nächste Woche muß ich wegen eines entzündeten Zahns zum Zahnarzt der sicher auch röntgen muß-könnte jetzt meine Gesundheit daru. Im Falle von Karies und Parodontose seien Röntgen-Untersuchungen oft der Goldstandard da auf diesem Wege genau erkannt werden kann ob zB. Jährlich als Patienten mit wenig oder ohne Zahnersatz.

Nur in diesen Fällen sollte innerhalb von sechs Wochen eine MRT- oder Röntgenaufnahme gemacht werden. Man sollte schauen das man nicht zu häufig innerhalb eines Jahres geröntgt wird.

Rontgen Diese Sieben Regeln Sollten Sie Beachten

Rontgen Diese Sieben Regeln Sollten Sie Beachten

Rontgen Hinweise Fur Patienten

Rontgen Hinweise Fur Patienten

Starke Der Strahlung Beim Rontgen Und Im Ct

Starke Der Strahlung Beim Rontgen Und Im Ct

Us Untersuchung Haufiges Rontgen Beim Zahnarzt Erhoht Tumorgefahr Welt

Us Untersuchung Haufiges Rontgen Beim Zahnarzt Erhoht Tumorgefahr Welt

Arzte Rontgen Zu Oft Wie Oft Darf Ich Jahrlich Gerontgt Werden Bildplus Inhalt Gesundheit Bild De

Arzte Rontgen Zu Oft Wie Oft Darf Ich Jahrlich Gerontgt Werden Bildplus Inhalt Gesundheit Bild De

Rontgen Focus Arztsuche

Rontgen Focus Arztsuche

Referenzwerte Fur Rontgen Untersuchungen Gesenkt Gesundheit Sz De

Referenzwerte Fur Rontgen Untersuchungen Gesenkt Gesundheit Sz De

Rontgen Im Mundraum Nicht Mehr Als Unbedingt Notig Gesundheit

Rontgen Im Mundraum Nicht Mehr Als Unbedingt Notig Gesundheit

Starke Der Strahlung Beim Rontgen Und Im Ct

Starke Der Strahlung Beim Rontgen Und Im Ct

Rontgen Thorax Grunde Ablauf Aussagekraft Netdoktor

Rontgen Thorax Grunde Ablauf Aussagekraft Netdoktor

Starke Der Strahlung Beim Rontgen Und Im Ct

Starke Der Strahlung Beim Rontgen Und Im Ct

Rontgen Grunde Ablauf Und Risiken Netdoktor

Rontgen Grunde Ablauf Und Risiken Netdoktor

Rontgen Strahlung Vermeiden Die Nicht Notig Ist Wissen Stuttgarter Nachrichten

Rontgen Strahlung Vermeiden Die Nicht Notig Ist Wissen Stuttgarter Nachrichten

Wie Gefahrlich Ist Das Zahnrontgen Kurier At

Wie Gefahrlich Ist Das Zahnrontgen Kurier At

Rontgen Beim Zahnarzt Die Fakten Dental Team Dr Hajto Munchen

Rontgen Beim Zahnarzt Die Fakten Dental Team Dr Hajto Munchen

Starke Der Strahlung Beim Rontgen Und Im Ct

Starke Der Strahlung Beim Rontgen Und Im Ct

Ist Rontgen Schadlich Zahnarztzentrum Ch

Ist Rontgen Schadlich Zahnarztzentrum Ch

Beim Mrt Lagert Sich Giftiges Metall Im Gehirn Ab Welt

Beim Mrt Lagert Sich Giftiges Metall Im Gehirn Ab Welt

Rontgen Die Strahlenkanone Kehrt Das Innerste Nach Aussen Stern De

Rontgen Die Strahlenkanone Kehrt Das Innerste Nach Aussen Stern De

Arzte Rontgen Zu Oft Wie Oft Darf Ich Jahrlich Gerontgt Werden Bildplus Inhalt Gesundheit Bild De

Arzte Rontgen Zu Oft Wie Oft Darf Ich Jahrlich Gerontgt Werden Bildplus Inhalt Gesundheit Bild De

Rontgen Focus Arztsuche

Rontgen Focus Arztsuche

Rontgen Hinweise Fur Patienten

Rontgen Hinweise Fur Patienten

Wilhelm Conrad Rontgen Die Geschichte Seiner Forschung Wissen Sz De

Wilhelm Conrad Rontgen Die Geschichte Seiner Forschung Wissen Sz De

Https Encrypted Tbn0 Gstatic Com Images Q Tbn And9gctzclawpugqrn71z2ybgeqbscq5n06cq4302zph Hkd0i2mgok6 Usqp Cau

Https Encrypted Tbn0 Gstatic Com Images Q Tbn And9gctzclawpugqrn71z2ybgeqbscq5n06cq4302zph Hkd0i2mgok6 Usqp Cau

Krebsrisiko Steigt Uberflussiges Rontgen Vermeiden N Tv De

Krebsrisiko Steigt Uberflussiges Rontgen Vermeiden N Tv De

Arzte Rontgen Zu Oft Wie Oft Darf Ich Jahrlich Gerontgt Werden Bildplus Inhalt Gesundheit Bild De

Arzte Rontgen Zu Oft Wie Oft Darf Ich Jahrlich Gerontgt Werden Bildplus Inhalt Gesundheit Bild De

Rontgenpass Seit Jahresanfang Nicht Mehr Vorgeschrieben Zm Online

Rontgenpass Seit Jahresanfang Nicht Mehr Vorgeschrieben Zm Online

Vom Dildo Bis Zur Orange Was Arzte Auf Rontgenbildern Entdecken Stern De

Vom Dildo Bis Zur Orange Was Arzte Auf Rontgenbildern Entdecken Stern De

Ruckenschmerzen Wann Sind Mrt Und Rontgen Sinnvoll Ndr De Ratgeber Gesundheit

Ruckenschmerzen Wann Sind Mrt Und Rontgen Sinnvoll Ndr De Ratgeber Gesundheit

Wie Funktioniert Rontgen Stiftung Gesundheitswissen

Wie Funktioniert Rontgen Stiftung Gesundheitswissen

Sicheres Krankenhaus Rontgenstrahlung

Sicheres Krankenhaus Rontgenstrahlung

Rontgen Thorax Lunge Grunde Ablauf Bilder Praktischarzt

Rontgen Thorax Lunge Grunde Ablauf Bilder Praktischarzt

Rontgen Den Korper Durchleuchten

Rontgen Den Korper Durchleuchten

Rontgen Beim Zahnarzt

Rontgen Beim Zahnarzt

Konsument At

Konsument At

Rontgen Und Tomografien Der Blick Ins Korperinnere Oft Uberflussig Stern De

Rontgen Und Tomografien Der Blick Ins Korperinnere Oft Uberflussig Stern De

Hand Rontgen Ursachen Ablauf Auswertung Praktischarzt

Hand Rontgen Ursachen Ablauf Auswertung Praktischarzt

Rontgen Focus Arztsuche

Rontgen Focus Arztsuche

Furs Rontgen Braucht Man Einen Guten Grund Gesundheit

Furs Rontgen Braucht Man Einen Guten Grund Gesundheit

Fuss Rontgen Grunde Ablauf Befund Kosten Praktischarzt

Fuss Rontgen Grunde Ablauf Befund Kosten Praktischarzt

Rontgen Wikipedia

Rontgen Wikipedia

Haufig Gestellte Fragen Radiologie Kantonsspital Aarau

Haufig Gestellte Fragen Radiologie Kantonsspital Aarau

Arzte Rontgen Zu Oft Wie Oft Darf Ich Jahrlich Gerontgt Werden Bildplus Inhalt Gesundheit Bild De

Arzte Rontgen Zu Oft Wie Oft Darf Ich Jahrlich Gerontgt Werden Bildplus Inhalt Gesundheit Bild De

Rontgen Nutzen Und Risiken Abwagen

Rontgen Nutzen Und Risiken Abwagen

Rontgen Hinweise Fur Patienten

Rontgen Hinweise Fur Patienten

Arzte Rontgen Zu Oft Wie Oft Darf Ich Jahrlich Gerontgt Werden Bildplus Inhalt Gesundheit Bild De

Arzte Rontgen Zu Oft Wie Oft Darf Ich Jahrlich Gerontgt Werden Bildplus Inhalt Gesundheit Bild De

Rontgen Wikipedia

Rontgen Wikipedia

Rontgen Beim Zahnarzt

Rontgen Beim Zahnarzt

Https Encrypted Tbn0 Gstatic Com Images Q Tbn And9gctgijl6towe4crmmgamzmd2ntmomef6dkkalsrelwwktffea3cj Usqp Cau

Https Encrypted Tbn0 Gstatic Com Images Q Tbn And9gctgijl6towe4crmmgamzmd2ntmomef6dkkalsrelwwktffea3cj Usqp Cau

Art und Alter des Röntgengerätes Dauer der Aufnahme und Bestrahlung Umfang und Größe des zu röntgenden Bereiches.

3 Tage krank ohne Krankenschein. Jede Röntgenuntersuchung ist mit einem gewissen wenn auch geringen Strahlenrisiko verbunden. Im Arbeitnehmergesetz ist zwar geregelt dass der Arbeitnehmer spätestens am 4. Auch die Zahnzwischenräume betroffen sind. So steht es auch in der deutschen Leitlinie für unspezifischen Rückenschmerz die als. Wie oft darf man sich pro Jahr röntgen lassen. So schnell kann es zu mehreren Röntgenaufnahmen im Jahr kommen. Art und Alter des Röntgengerätes Dauer der Aufnahme und Bestrahlung Umfang und Größe des zu röntgenden Bereiches. Wir werden das nun reduzieren im aktuellen Korsett wird aufs Röntgen verzichtet und das nächste Bild ist erst für nach meinem 20.


So steht es auch in der deutschen Leitlinie für unspezifischen Rückenschmerz die als. Startseite Gesundheit Schulmedizin Röntgen. So schnell kann es zu mehreren Röntgenaufnahmen im Jahr kommen. Die Erhebung Auswertung und Bewertung der Daten erfolgen jährlich um auch zeitliche Trends erkennen zu können. Ärzte röntgen zu oft. Daher wird regelmäßig abgeschätzt wie viele Untersuchungen durchgeführt werden und wie hoch die daraus resultierende Strahlenexposition für die deutsche Bevölkerung ist. Art und Alter des Röntgengerätes Dauer der Aufnahme und Bestrahlung Umfang und Größe des zu röntgenden Bereiches.

Posting Komentar untuk "Wie Oft Darf Man Röntgen Im Jahr"